I’m going to be 75 years old one week from today. This piece is about a consequence of that age, that I “officially” learned about only yesterday!
In itself, my physical age means little to me. I’m one of those people who, due to the Grace I first experienced from Meher Baba when I was 22, has generally felt “forever young.” There’s been a bit of wear and tear at the surface of this feeling, but underneath … underneath all of us … the Inner Child remains eternally young! A new friend told me only last week, “I thought you was about 55!”
Understanding aging from the inside
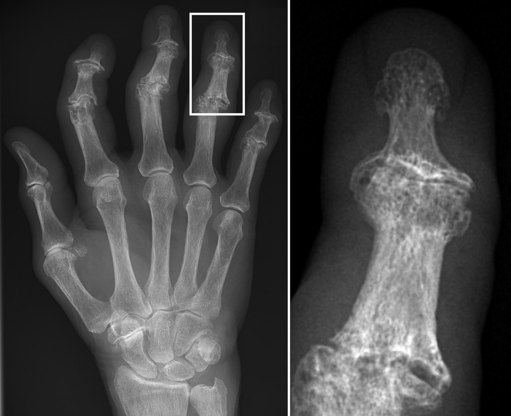
For the past couple of months, though, I’ve been bothered by pain in my hands, and after getting some X-rays and blood work, I had a conference with a kind rheumatologist yesterday at Kaiser. She showed me my X-rays on her computer screen, alongside the X-rays of a person with normal (non-painful) hands.
I could see the physical intrusions of age. The “normal” hand’s fingers had dark areas representing cushioning between the various finger segments. My cushioning was mostly worn away. The other hand’s bone segments were gracefully curved; mine were somewhat jagged in places, with what the doctor said were bone spurs.
Now, I know that “osteoarthritis” is a comparatively mild diagnosis for an aging person to receive. My grandfather had it, I think. I never really thought much about it. Only, “That’s what old people get.” Selfishly, I wasn’t very interested in what he actually was experiencing. His condition didn’t demand from me the profound empathy that, say, a diagnosis of cancer or heart disease (which he developed later) would’ve elicited.
So now, as is the case with so many things in life, I understand from the inside. The experience of osteoarthritis (to be distinguished from rheumatoid arthritis, because it’s centred in the bones and joints themselves, and doesn’t entail puffy inflammation), for me, is a difficult one to make peace with. The best way I can express it is that for these past two or three months, as this condition has come to the fore, I’ve become aware of how my hands are almost like a second pair of eyes— like antennae—in some ways: an “early warning system” to help me ward off dangers and guide my way in the world, on a very instinctual level.
We hear the phrase “hand-eye coordination” fairly often. This is descriptive, I now see, of a most intimate relation between the two. I’ve always, until now, had my hands to protect me, to fend for me, to help me “Braille my way through life,” so to speak.
I only know that, though, because now my ability to use them in this way feels blunted. And in a way, I feel partially blind. It has become much more difficult for me to supervise the preschoolers I work with in their play yard outdoors. I feel as if, indeed, I’ve lost some faculty that I depend on. I tend to get enervated very easily now, and I think it’s because I’m having to use my mind for things I previously “felt” in my hands.
A journey of management
I’m at the beginning of my journey with arthritis. It was helpful to actually see the degeneration on the screen, and hear the doctor’s explication (“moderate” in most places, “severe” in one area at the base of my right thumb). Now comes a time of looking for ways to manage the condition, to get as much of my hands’ “intuitive function” back as I can.
Thus far, I’ve been using a number of lotions, especially at night when my discomfort is at its height. Curiously, I feel that the perennial patent medicine Ben-Gay, with its eucalyptus, has been the most helpful so far. I also use Arnica lotion, and a colleague at my school gave me a cannabis product (without the THC that gets you high in marijuana) that also seemed to help.
I have a sheet of exercises, a recommendation from that same colleague to possibly make some dietary changes, and the possibility of exploring acupuncture and other alternative methodologies. And now that I’m writing about this condition on social media, I continue to receive input: Only last night, someone commented that he had a condition similar to mine and, against all medical advice, used a collagen product that, taken every night for several months, healed him.
No doubt there remains a lot more to explore, on the internet as well as with human consultants.
Jung’s “Stages of Life”
This is my first such life challenge connected with age. Recently, my dentist told me that, nowadays, we’re living longer than our body parts were designed for. He was speaking of things going on in my mouth that I’m able to cope with more easily than this latest news.
Dr. Carl Jung has a well-known essay called “The Stages of Life.” In this piece, he speaks of the second half of life as a time for turning within, after using the first half to develop a strong, healthy ego.
In my case, as well as for a number of my friends, these stages were somewhat jumbled. Long before I’d developed a “healthy ego,” my ego’s capacity to mediate with the world was decimated by experiences I had on psychedelics, and I went into a period of being unable to function there at all. Then, suddenly, I had a powerful mystical experience, and embarked on a spiritual life in my early twenties. I’m still at work on the “healthy ego” part!
But it’s becoming more clear that I, along with so many of the people I know, am now “walking down the other side of the mountain toward the Sun.” Life is helping us prepare for the inevitable end of this lifetime, of being housed in this body. Little signs, like my arthritis, as well as the news—nearly every day, lately—that one of my devotee companions has “gone to Baba”, turn me at least partially in that direction, at least enough to begin the important and inevitable process of getting my life in order to prepare for my departure on the “train to the next Station.”
I said to my doctor yesterday, “So, do I need to retire from my job with children? From my volunteer food-delivery work that is dear to my heart?” She replied, “You’re asking me, ‘Do I need to stop living?!'” Implying a strong “No!”
So, life goes on! All the Beauty, all the challenges! As I go on learning to deal with the latest of the latter.
«RELATED READ» GRATITUDE: 3 ways to cultivate it through mindfulness while aging»
image 1: Abhikdhar2009; image 2: Mikael Häggström; image 3: Barbara Reif



